| Occupation | Associate Clinician |
| Alumni | Cardiff University |
| Areas of Expertise |
|
| Practice Location | Winchmore Hill |
| Gender | Male |
Dr. Vikash Patel
Associate Clinician
BDS (Lond) Associate Clinician
GDC No. 176440
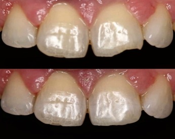
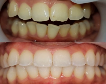
Known to his friends and colleagues as Vik. Vik is an Associate Clinician at Dentist on the Green who has passion for aesthetic dentistry. With over 12 years of experience in providing care and cosmetic dentistry, Vik’s passion for bringing patients confidence and smiles back to their lives is stronger than ever.
Dr Vik graduating in 2009 from Cardiff University. Vik has primarily focused on aesthetics, where he has undertaken numerous courses in short-term orthodontics, composite bonding and your advanced Dental restorations.
Going forward Vik is currently developing his skills and knowledge by undertaking further training in Implants.
‘ I have always loved the opportunity to transform a patients confidence and trust in me to develop the highest standards of care which then has a positive effect on their lives. The feeling felt when seeing your patients’ reaction to their new beautiful smile is utterly satisfying and at the same time motivating.
Dr Vik likes to get to know his patients’ first. Dr Vik believes in the smile journey and likes to ensure the patient is part of this every step of the way. Dr Vik understands that every patient, smile and journey is different and provides a bespoke dentistry to suit.
In his time outside the practice he loves to spend his time with his family and his adorable young daughter. He enjoys anything sports related especially football.
- Member of the British Dental Association
- Member of the General Dental Council
Dental Treatments of Dr. Vikash Patel



What Patients Say
Our Specialists
Dr. Fozia Aziz
Graduated from the Royal London Dental School. She has developed her skills over the years, expertly treating dental patients.
Dr. Shailesh Sharma
Dr Shailesh ‘s focus is in providing high quality aesthetic treatments, especially adhesive dentistry and Invisalign.
Dr. Amanda Herry
Dr. Amanda Herry is an experienced dentist dedicated to providing exceptional dental care.
Dr. Kuljeet Mehta
Working over the past 18 years in both private practice and teaching at the universities inspired an interest in Oral Medicine




