
| Occupation | Principle Dentist |
| Alumni | Royal London Dental School |
| Areas of Expertise |
|
| Practice Location | Winchmore Hill & Goldhurst |
| Gender | Female |
Dr. Fozia Aziz
Principle Dentist
BDS (Lond) – Principal Dentist
GDC No. 64970
Fozia bought the practice in April 2012. This was a natural move after having gained vast experience in all aspects of General Dentistry in over 20 years of working in family based practices in London and the South-East of England. Fozia is proud to be the head of a handpicked team of highly motivated and experienced professionals.
Having graduated from the Royal London Dental School, with first class honours in 1990. She has developed her skills over the years, expertly treating patients in all aspects of general dentistry and is especially able with nervous patients giving them the time and patience needed.
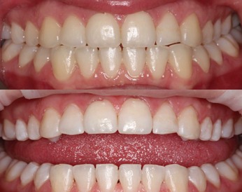
Over the years Fozia has developed a special interest in cosmetic dentistry, creating beautiful smiles with crowns, veneers and tooth whitening systems both Laser and home, bringing these skills with her, she is committed to improving both the health and appearance of your smile.
Her keen aim is to ensure every patient has the best service they request for each and every appointment. She has developing relaxed and caring patient led treatments.
Fozia is a professional and experienced dentist having worked with several health authorities since qualifying. She is an organised and self-motivated practitioner, with a caring, outgoing and friendly attitude, who enjoys whole patient care, especially progressive dentistry.
- She attends many courses to be sure to bring current up to date methods, materials and visiting clinicians, to maintain a high quality service to all who attend Dentist on The Green.
- Fozia is committed to maintaining and updating her skills with regular attendance at post-graduate seminars and courses.
- Through continued professional development she strives to provide her patients with the best and most advanced treatments that modern dentistry has to offer. These include :-
- A 13 month Private Restorative course with Tipton Training in 2003
- Facial Rejuvenation training with Cosmetic Courses with Plastic Surgeon Dr Adrian Richards in Princes Risborough.
As part of The Insiders Club, a Dental Team Development group, she further aims to build the practice towards being and integral part of the community in Winchmore Hill. Both, providing top notch dental services, whilst becoming a lively member of the community and beyond. Her aim is for a philanthropic outlook for the practice long term.
By investing in both the Practice and her staff she is committed to growing Dentist on The Green as a centre of excellence where you will continued to be provided with the best of what modern dentistry has to offer. So far, building her Team to include a Specialist in Periodontics and two practitioners who provide Endodontic treatment and a dentist & hygienist who can offer Botox treatments, thus reducing the need to travel further afield.
Outside of work, Fozia has a keen interest in current affairs, and is an avid follower of sports especially football and cricket. She has travelled extensively visiting much of the world and hopes to complete this interest by visiting at least one city in every continent.
- Member of the British Dental Association
- Member of the General Dental Council
Dental Treatments of Dr. Fozia Aziz



What Patients Say
Due to an unfortunate incident on Millennium Eve, my two front teeth were badly damaged and I needed to have a lot of dental work done over the next year finally resulting in two crowns. The work all took place at a dental practice in Central London.
After a few years, I moved to Winchmore Hill N21 which was a long way from my dentist. I happened upon Dental Practice on the Green and started having regular dental check up with Fozia. After many consultations and discussions, it became the time for my crowns to be replaced. I was incredibly nervous and anxious about the whole process and put if off for as long as I could (which was far too long). The two front teeth are the main and first teeth that show when I smile and I was scared about having them replaced but it was a job that needed to take place. I was often curt, rude and teary during the appointments with Fozia who, throughout it all, maintained a professional calmness and showed more care than she needed, guiding me well with her explanations throughout it all. Her whole team looked after me, especially when I had a mini breakdown when the crowns were being fitted! The results are amazing. I really should have had the crowns replaced long before I did. I am happy again to smile and show the teeth off. Hopefully when the crowns need to replaced again 10-15 years down the line, Fozia will still be at the Practice to guide me through it all again.
My two young children also visit Fozia regularly. Fozia is a confident Dentist and through this, has always put my children at ease and explains everything to them as she checks her teeth.
I am extremely pleased with my choice of Dentist. Trusting someone to do such important work is hard but I have full confidence in Fozia and her team and am very happy to recommend the Dental practice.
Our Specialists
Dr. Vikash Patel
Graduate from Cardiff, Vik has over 12 years of experience in providing care and cosmetic dentistry.
Dr. Shailesh Sharma
Dr Shailesh ‘s focus is in providing high quality aesthetic treatments, especially adhesive dentistry and Invisalign.
Dr. Amanda Herry
Dr. Amanda Herry is an experienced dentist dedicated to providing exceptional dental care.
Dr. Kuljeet Mehta
Working over the past 18 years in both private practice and teaching at the universities inspired an interest in Oral Medicine




